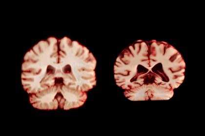
Males’s Brains Shrink Sooner than Ladies’s. What That Means for Alzheimer’s
October 15, 20253 min learnMales’s Brains Shrink Sooner than Ladies’s. What That…
Your red is my red, at least to our brains
It’s a late-night debate in college dorms across the world: Is my…

